Главная
Услуги
О нас
Отзывы
Команда
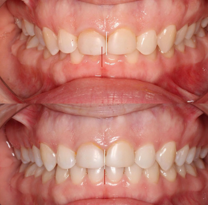
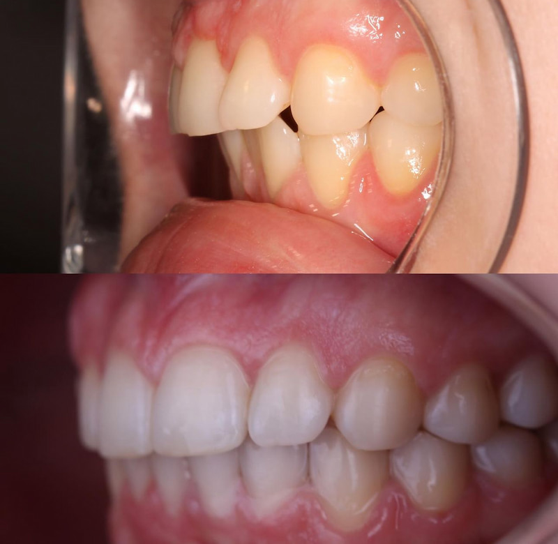
Наши работы
Контакты
Мы используем их, чтобы сделать ваше пребывание на сайте более комфортным
Lorem ipsum dolor sit amet, consectetur adipisicing elit. Magni non placeat voluptates!